
Hoofcare for CPL horses
You’ll have heard the old adage “No hoof, no horse”. It’s especially true when it comes to diseases of the lymphatic and circulatory system in the lower legs. I want to be clear that when I reference shoes or shod horses in this article, I mean steel shoes. We should look into alternative shoeing techniques such as hoof boots and flexible composite options.
It is probably important to make clear at this stage that this is absolutely not an anti-farrier article. If your farrier can shoe your CPL horse in a way that minimises the risks discussed below and optimises circulation and hoof health, that is wonderful. Likewise, many farriers are also excellent barefoot trimmers and have lots of happy healthy clients, both shod and barefoot. But we do need to consider some things about the more traditional shoeing methods…
The lymphatic system is considered both a part of the immune and circulatory systems – what we know about the lymphatics in the lower leg is that they rely almost entirely on healthy circulation and a pump action (“lymphatic retraction”) which is promoted by the flexion of the fetlock joint and hoof. Inside the hoof are the venous plexus – large groups of blood vessels that are squeezed into action by the digital cushion (internally, they sit above the frog and around the heel), hoof walls and the coffin bone. This pumps the blood up and out of the hoof and leg, back to the heart. The lymph vessels are subject to the same flexion. Healthy circulation in this area goes a long way towards improving lymphatic drainage. Think of it as though the lymph is “hitching a ride” on the circulatory system. There is a good motion graphic about halfway down this page that demonstrates the hoof flexing.
Looking at barefoot horses, we can see that circulation is improved by 1) a large, healthy frog which when in contact with the ground helps both protect and activate the plantar cushion; 2) by allowing the hoof its natural ability to flex and dissipate concussion, which is significantly reduced when shod; and 3) the angle of the coffin bone to support the internal structures. Unshod, the hoof wall is naturally flexible, which helps to squeeze and release the venous plexus when it flexes to absorb concussion.
When the hoof is raised, the veins open and blood flows back up the leg, along with lymph. When the hoof is down, the vessels are compressed. This helps us to understand why stabling horses with compromised lymphatics or lymphatic disease, prevents the natural flow of blood and lymph back to the heart and lymph nodes respectively.
Read The Blood Pumping Mechanism of the Hoof by Dr Craig Wood.
Debs Crosoer from Hoof Geek and the Hoof Geek Barefoot Community has this to say about CPL hooves:
“There’s been a few posts about going barefoot and CPL recently, so I thought I’d give a bit of info about it. Being barefoot is beneficial for horses with CPL, there can be challenges when transitioning from shod to barefoot. It might be best to do it now, or it might be better to do it later.
I’ll probably flesh this out into a blog post later, but for now, here’s some ramblings, if they’re useful to you.
The proโs and conโs of going barefoot with CPL.
Thereโs little doubt that being barefoot has benefits for a horse with CPL. However, itโs might not always be the best option to fling off the shoes immediately. Every situation is different, and we need to take an informed approach. If your horse has been shod for years, a few more weeks while you prepare for the shoes coming off isnโt the end of the world.
Letโs start with the positives, as these are likely the reasons youโre thinking about going barefoot anyway.
Better circulation in the hoof means better circulation in the legs, both for blood flow and lymphatics.
No nail holes CPL can cause the hoof horn to be poor quality ie weak and prone to cracks. Nail holes are only going to make that worse, and increase the likelihood of hoof wall infection
Less handling of the leg to trim than when shoeing. Many CPL horses dislike their legs being handled. There are many more ways to work with a horse and reduce the handling of the legs when trimming. Shoeing requires a much more rigid handling of the legs.
Trimming or shoeing of a horse whoโs reluctant to have their legs handled is high risk for the hoof care practitioner, and Iโd hope we care about their safety, so thatโs another reason to not to shoe.
Better frog/ground contact. Frog infections are common for CPL horses. Getting the frog working more will improve the health
Less concussion will be more comfortable for sore legs
But itโs not all plain sailing. There are some negatives we need to consider.
Boots can be difficult to fit for horses with CPL. This isnโt necessarily a problem, as the CPL prone breeds are also the breeds least likely to need boots, so fit issues might literally be irrelevant. But big feet, chunky feet, feather, sore legs or swollen legs can all make boot fit more difficult.
Chipping and cracks. As the wall can be weaker and more prone to chipping, that can be a concern, particularly in the early stages with nail holes still present. Iโve never actually seen the wall chipping off make a horse lame, but it does increase the stress and concern for the owner, particularly if theyโre new to barefoot. (I also recommend reduced workload for horses when transitioning, so that might be why I donโt see the lameness in my clients)
Foot soreness. CPL when itโs flared up can have the same effect on hooves as low grade laminitis. Iโm not talking about rotation, but certainly you get the circulation problems and possibly foot soreness. One of the reasons we use shoes on horses is because they can make a foot sore horse โuseableโ. ie. you donโt see low levels of foot soreness in shod horses where you will see it in barefoot horses.
This can cause worry for the humans as we feel like our horse is sore more often. Truth is, theyโre not having more problems, weโre just more aware of them when they do happen.
From my point of view, I like having easier access to that information, and the opportunity to make the necessary changes earlier on. Sometimes however, it can feel like thereโs more ups and downs, particularly if youโre unclear on how to reduce the foot soreness and the underlying causes of it.
Professional support. If you donโt have good knowledgeable professional support it can be a challenge. Iโm not going to go into this too deeply here, but it;s a bad idea to go barefoot with an anti-barefoot farrier. Iโd also argue that โbarefoot friendlyโ isnโt good enough either. You need barefoot knowledgeable, beyond the trimming skills.
If they canโt advise you on what feeds cause foot soreness, which boots will or wonโt work, how CPL affects hoof health etc then youโre missing out on a lot of advice that will make your life easier and your horse healthier and sounder (often very quickly – like in just days)
Soโฆ In conclusion
Going barefoot will help a horse with CPL, however itโs not a magic fix, and it might add layers of stress to the situation youโre already dealing with, particularly if youโre new to CPL and/or new to barefoot. So donโt feel pressured to jump in to everything at once. Take a breath, itโs a journey, be kind to yourself.
Also know that most of the advice as to what to do to improve CPL is the same as the advice as to what to do to improve the hooves, both things are about improving health and circulation to the lower leg (which the hoof is part of). So youโre good. Everything you do for the CPL will have a positive impact on the hooves anyway (regardless of the shoe).”
Diet plays the greatest role of all in good hoof quality. Given that horses with CPL tend to have poorer hoof quality and can be prone to laminitis, a barefoot-friendly diet is essential to keeping them sound. Both Pete Ramey and Prof. Chris Pollitt have written extensively on diet balancing for better hoof quality.
Clinical anatomy and physiology of the normal equine foot is an interesting read.
Something to consider is the increased effect of concussion when shod because these CPL horses are often chronic stampers. Even when they don’t have feather mites, their legs can feel strange and uncomfortable at times as they fill and fibrosis forms. The horses stamp their feet rapidly and with incredible power, sometimes smashing holes into the ground. This can cause concussive bone changes such as ringbone, sidebone, hock and knee arthritis which poses us two problems when the horse has CPL. Firstly, they may require injections which as we know, are contraindicated and in fact sometimes not even possible, depending on the severity of the CPL. Secondly, if we need to apply compression to the legs, the horse is less likely to tolerate the discomfort of bandaging over the bone changes. Unfortunately, that typically means we can’t compress the legs in the event that the horse has to be stabled or needs Combined Decongestive Therapy.
Ergots and chestnuts can become distorted, growing oddly, splitting and twisting and this can let infection in so they must also be trimmed regularly.
Now we also know that CPL can affect the quality of the hoof and cause chronic inflammation and thrush. This can be helped or even prevented by providing a healthy, species-appropriate diet. Some shod horses have very contracted heels, where the heel bulbs are pushed tightly together and the deep crevice that forms increases the risk of thrush. Shoes can also affect proprioception which alters the hoof load and the horse’s ability to feel the ground and that can potentially lead to bone, tendon and ligament injury… Being on box rest is something we would really like to avoid for the CPL horse.
Of course that’s not to say that the horse can’t injure itself equally or worse when barefoot. It’s just something to consider.
Research into CPL in draft horses has shown that they can be prone to developing laminitis. It could be that this is a result of the chronic inflammation but it could also be because many CPL cases come about as a result of neglect in horses who are genetically predisposed. So it is really important that you and your hoofcare provider keep an eye out for symptoms and soreness in the feet and that your horse doesn’t become overweight. You can learn more about laminitis here.
While there are some exceptionally good, knowledgeable farriers and barefoot trimmers, there are also really bad versions of both out there. Do your research when you are looking for a farrier or trimmer and make sure to employ someone with a good reputation who can talk you through what they will be doing and will be reliable and thorough in their work. It is super important that the hoofcare provider you choose understands that CPL horses operate at a level of discomfort in the legs unlike healthy horses so in a similar way to laminitics will likely need plenty of breaks to put their feet down or may not have enough flexion to lift them up very high. Don’t forget that when they’re standing still, their legs are filling (and not draining effectively) so they logically want to avoid doing this where possible. Let them move around between trimming each hoof.
You can source hoof boots from https://thehoofbootshop.co.uk/ and they have a large number of farriers and trimmers across the UK who can help with fitting.


Image credit R. Blenntoft





hooves trimmed.

Note the wonderful depth of sole.
Photo credit Longmarsh Track Livery.


Photo courtesy of Balanced Step.

Find a hoofcare professional (UK only).
Find a barefoot trimmer in the UK here.
Find an equine podiatrist in the UK here.
Find a registered farrier in the UK here.

Image credit Oda Barhuf at Balanced Step.

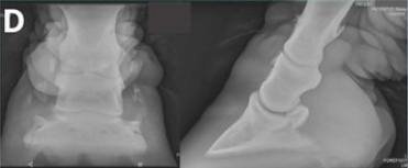
Possibly a degree of P3 descent. Aged 19 here. CPL score D, exteme.
Sources and resources:
Kentucky State University research team ‘Horse Hoof Health: Beyond Biotin’; ‘The Horse’s Hoof’;
Mark Johnson alternative farriery https://mjfanotherway.co.uk/index.php ;
Facebook group ‘Barefoot Horse Owners UK’ ;
Pete Ramey Hoof Rehab; The Laminitis Site.org
Debs Crosoer Hoof Geek, Hoof Geek Barefoot Community