
Physical presentation and Diagnosis
Including safe diagnosis practices, symptom categorisation and how to identify the different stages of the disease with visual guides and RX images.
Appearance
Verena K. Affolter describes CPL as having the following characteristics that make it sufficiently unique as to allow diagnosis based on the physical presentation alone. That is important because biopsying CPL legs is contraindicated, with issues around slower healing and increased risk of infection.
“The horses present with progressive swelling of the distal portions of their legs with scaling, marked dermal fibrosis and the development of skin folds and nodules. Typically, secondary recurrent bacterial and parasitic infections complicate these lesions and contribute to the aggravation of the lymphoedema.”
Chronic Progressive Lymphedema in Draft Horses by Verena K. Affolter, Dr. med vet., Diplomate ECVP, PhD.
Essentially what we are looking for is thickening of the skin around the pastern, firm round nodules, skin folds and oedema. Round, penny-sized sores on top of the folds and nodules are also common.


A visual representation
Individual symptom severity can vary from horse to horse but the main presentations can be categorised as such:

As of 2023, the below table represents the new CPL scoring system. Note that the system now allows for presentation on the dorsal side and also takes into account whether the leg has a low or high (-) volume of lymphoedema.

Mild CPL (Score A/A-)
Moderate (Score B/B-)
Severe (Score C/C-)
Extreme
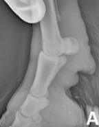
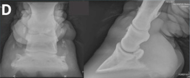
RX Images






Diagnosis
Diagnosis of CPL can reliably be made on physical presentation given the unique characteristics of the disease. Professionals experienced in lymphatics may utilise the Press & Stretch Test (developed by Rebecka Blenntoft) for both diagnostics and monitoring of the disease.
If we look at what we know about human lymphatic care, biopsy is strongly contraindicated due to the risk involved in cutting the skin on an immuno-compromised limb. Indeed, in the newest research (2023) Dr Marieke Brys warns against biopsy as a diagnostic for CPL. The significantly reduced healing ability of the skin and tissue associated with lymphatic disease combined with the poor immunity of a CPL horse leaves biopsies to be avoided – unless neoplastic disease is suspected. What could a biopsy show? Desmosine in the tissue indicates the concentration of elastin, but that in itself is not specific to identifying CPL. We can feel the elastic quality of the skin and tissue ourselves using the Press & Stretch test.
In the 2013 Verena K. Affolter (U.C.Davis) study into CPL in Draft Horses there is a brief list of other potential diagnostics including lymphoscintigraphy and lymphangiogram. These procedures are expensive, invasive and unnecessary. Radiographs will show the extent of the folds but again are a surplus cost and show nothing that we can’t already see and feel, with regards to the CPL.
The disease may be compounded by current and persistent bacterial and parasitic infections – staphylococcus sp., dermatophilus congolensis – and chorioptes bovis/equi infestations.
Frequently dismissed as “feather mites damage”, mud fever (“scratches” in the US) or “typical cobs legs”, professionals must now self-educate with some urgency to understand why infections and mites damage can be a major trigger of CPL. Once the skin is scarred in excess of a depth of 4mm, the lymph can no longer pass through the cells. The superficial lymph vessels become damaged. Self-mutilation of the legs due to discomfort from mites or infections will result in further scarring and so the cycle continues and oedema builds. A considered, effective mites treatment protocol in the first instance is essential if we do not want to trigger CPL. As such, feather mite infestations must be considered both a trigger, exacerbant and a comorbidity.
“Its also worth mentioning that lymph cannot pass through a scar more than 4mm thick, so previous injuries and accidents can affect the way the superficial system drains the skin. This can present as obvious scarring, such as from wire cuts or lacerations, but other wounds may not be so straightforward. In puncture wounds or keyhole surgery for example, there is often a small scar on the surface of the skin which can be easily overlooked. However, hidden underneath the scar there can often be extensive fibrosis where tissue underneath the skin has been affected. In horses that have been affected by mite infestation, causing damage to the superficial drainage of the skin, it then becomes important to help support the deep drainage so that the lymphatic system can still carry out its function optimally.“
Rebecka Blenntoft, Equilymph Ltd ‘An Introduction to Equine Lymphology , Session 3 – The Superficial Lymph Drainage of the Skin’.
Ergots and chestnuts may become distorted and split, growing into many curled sections. This can be yet another source of secondary infection, especially if combined with hyperkeratosis.
Hooves can be affected too. Coronary band dystrophy could present with hyperkeratosis and hypertrophis. Some CPL horses have poor hoof quality and some may develop laminitis. Persistent, treatment-resistant thrush and abscesses are common.
Stallions were found to suffer the worst with the disease but we do not know why. Could it be hormone related or could it this be a husbandry issue because stallions tend to be bigger, sometimes overweight, stabled more and get less exercise? Mares may have a lesser severity or slower progression – until being in foal, which puts further strain on the already overburdened lymphatic system.























































